








겨울철 불청객 감기와 감기와 혼동할 만한 5가지 질병
감기는 바이러스에 의해 발생하는 상기도 감염으로, 발열, 기침, 인후통, 콧물 등 다양한 증상을 유발한다. 그러나 감기 증상과 유사한 다른 질병이 존재하며, 이를 정확히 구분하고 적절히 대처하는 것이 중요하다.
1. 인플루엔자(독감)
1) 증상
- 감기와 유사하게 발열, 기침, 콧물 등이 나타나지만,
- 갑작스럽게 시작하는 고열(38~40℃ 이상),
- 심한 두통과 근육통,
- 전신 피로감이 두드러진다.
- 소아의 경우 구토, 설사가 동반될 수 있다.
2) 구별법
- 증상의 갑작스러운 발생과 고열이 감기와의 주요 차이점이다.
- 근육통과 심한 피로감은 감기에서는 잘 나타나지 않는다.
3) 치료법
- 항바이러스제(예: 오셀타미비르)를 발병 후 48시간 내 복용.
- 충분한 수분 섭취와 휴식이 필요하다.
4) 예방법
- 매년 인플루엔자 백신 접종.
- 손 씻기, 마스크 착용, 밀집된 장소 피하기.
5) 찾아갈 병원
- 내과, 가정의학과.
6) 낫지 않을 경우 대처 방법
- 지속적인 고열과 호흡곤란이 있다면 즉시 병원을 방문하여 합병증(폐렴, 중이염 등)을 확인한다.
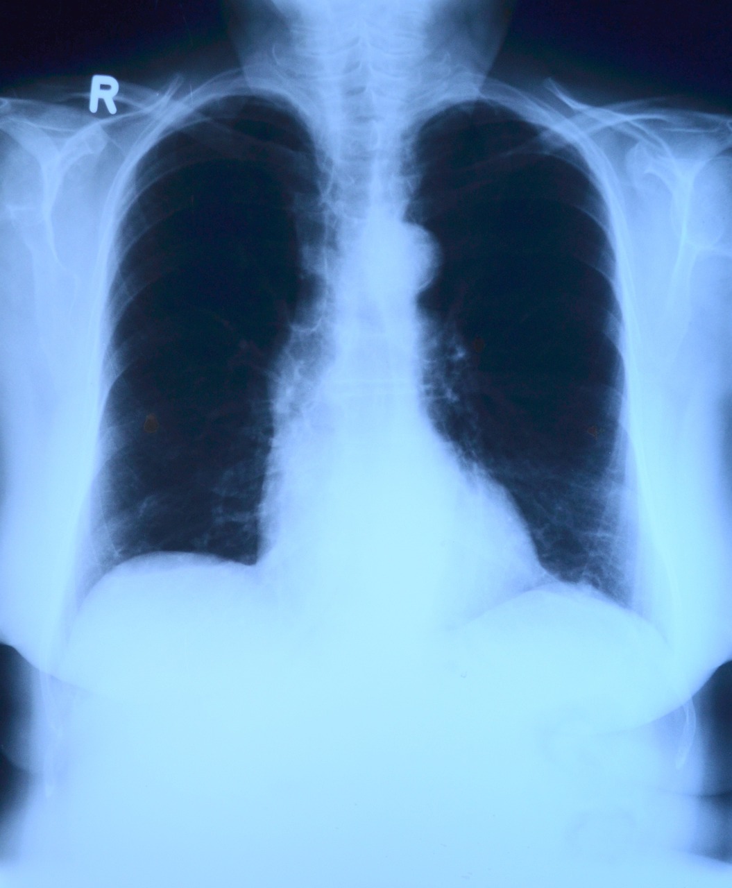
2. 폐렴
1) 증상
- 감기와 유사한 초기 증상(기침, 발열, 콧물).
- 이후 심한 기침, 녹색 또는 황색 가래, 흉통, 호흡곤란이 나타남.
- 노인이나 면역력이 약한 사람은 증상이 경미하지만 위험성이 높다.
2) 구별법
- 흉통 및 가래 색의 변화.
- 청진 시 비정상적인 폐음(크랙클 소리).
- 흉부 X-ray로 확진.
3) 치료법
- 세균성 폐렴: 항생제 처방.
- 바이러스성 폐렴: 대증요법(수액 요법, 해열제).
- 산소 공급이 필요한 경우도 있음.
4) 예방법
- 폐렴구균 백신 접종.
- 금연 및 규칙적인 운동으로 면역력 강화.
5) 찾아갈 병원
- 내과, 호흡기내과.
6) 낫지 않을 경우 대처 방법
- 즉시 입원 치료로 전환.
- 저산소증, 패혈증 등의 합병증 확인 필요.
3. 급성 부비동염(축농증)
1) 증상
- 콧물, 코막힘, 두통, 안면 통증이 나타난다.
- 콧물이 점액성에서 농성이 되며, 후비루(목으로 넘어가는 콧물)가 동반됨.
- 미열과 냄새 감각 저하가 발생할 수 있다.
2) 구별법
- 콧물의 농도와 색 변화.
- 안면부 압통(특히 눈 주위와 이마).
- 감기 증상이 10일 이상 지속될 경우 의심.
3) 치료법
- 세균 감염 시 항생제 처방.
- 코 세척 및 비강 분무 스프레이 사용.
4) 예방법
- 감기 초기에 적극적으로 대처.
- 실내 습도 조절(40~60%).
5) 찾아갈 병원
- 이비인후과.
6) 낫지 않을 경우 대처
- 만성화 방지 위해 정밀 검사(CT 등).
- 심한 경우 부비동 내시경 수술 고려.
4. 급성 기관지염
1) 증상
- 기침이 주 증상으로, 초기에는 마른기침, 이후 가래를 동반한 기침.
- 경미한 발열과 전신 쇠약감.
- 가슴 답답함이나 흉부 불편감.
2) 구별법
- 감기 증상 이후 지속적인 기침.
- 가래의 색이 점차 진해지거나 많아지는 경우.
3) 치료법
- 기침 억제제, 점액 용해제.
- 세균 감염 시 항생제 처방.
4) 예방법
- 금연 및 간접흡연 피하기.
- 충분한 수분 섭취와 실내 공기 관리.
5) 찾아갈 병원
- 호흡기내과, 내과.
6) 낫지 않을 경우 대처
- 증상이 3주 이상 지속되면 만성 기관지염 또는 폐렴 가능성을 확인한다.
5. 알레르기성 비염
1) 증상
- 맑은 콧물, 재채기, 코막힘, 눈 가려움.
- 계절성(꽃가루) 또는 지속성(집먼지진드기, 곰팡이)에 따라 악화됨.
2) 구별법
- 맑은 콧물이 지속되며, 발열이 없는 점이 특징.
- 코 간지러움과 눈 가려움이 동반.
3) 치료법
- 항히스타민제, 비강 분무 스테로이드 사용.
- 원인 물질 회피.
4) 예방법
- 실내 청결 유지(집먼지 제거).
- 알레르기 유발 물질 피하기.
5) 찾아갈 병원
- 이비인후과, 알레르기내과.
6) 낫지 않을 경우 대처
- 알레르기 검사로 원인 확인.
- 면역 요법 진행.
감기와 유사 질환의 공통적인 예방과 관리
- 손 씻기와 개인 위생 철저히 관리.
- 규칙적인 운동과 균형 잡힌 식단으로 면역력 강화.
- 병원 방문 시 정확한 진단을 통해 적절한 치료를 받는다.
- 증상이 심하거나 오래 지속될 경우 즉시 전문의 상담을 받아야 한다.
- 특히 오랫동안 낫지 않은데도 한 병원만 고집하다가는 큰 낭패를 볼 수 있으니 다른 병원에 가서 진찰을 받아 보는 것도 한가지 밥법이다.
- 예를 들어 감기와 비슷하여 찾아간 병원에서 인후염으로 진찰받고 2개월간 병원진료와 약복용을 하다 너무 오래 가는것 같아 대형병원 찾아가 후두암 판명을 받은 경우도 있다.
728x90
반응형
'라이프' 카테고리의 다른 글
| 크리스마스 선물 (0) | 2024.12.23 |
|---|---|
| 세상 간편한 선물하기 기능 (0) | 2024.12.23 |
| 겨울철 불청객, 감기 (0) | 2024.12.23 |
| 우체국 럭키 BC바로 적금 (0) | 2024.12.22 |
| 1만 시간의 법칙 (0) | 2024.12.20 |